029 608 22 22
029 508 22 22
029 608 22 22
029 508 22 22
Пожаловаться на акцию
Взято всего:
9606 промокодов из 9622
Взято сутки/месяц:
0 /0 промокодов
Просмотров сутки/месяц:
16/407
До завершения:
Отзывы/оценка:
282 /
Стоимость:
- Получить промокод можно до 31.01, воспользоваться до 01.04.26
- Предварительная запись с озвучиванием промокода обязательна
- Промокод дает право на скидку 17% на отбеливание зубов с помощью системы Beyond в стоматологическом центре "Доктор рядом"
- Стоимость услуги:
- Отбеливание Beyond Polus Advanced: 395 р. 475 р.
- Подробное описание услуги читайте ниже
- Что такое отбеливание и есть ли после него результат? Подробнее в нашем фотогиде
- Один промокод - одна услуга со скидкой.
- *Скидка на промокоды до 30% при пополнении баланса
- *Промокоды от 19 коп. по подписке
- Возможные доплаты по прейскуранту предварительно согласовываются с пациентом!
- Акция не обслуживается по картам рассрочки.
- Скидка промокода не суммируется со скидками других дополнительных акций или спецпредложений.
- В ходе консультации врач, перед проведением процедуры, ознакомит с возможным возникновением побочных эффектов.
- Стоматологический центр "Доктор рядом" оставляет за собой право изменить цену, опубликовав ее заранее на сайте.

Почему пациенты выбирают стоматологический центр "Доктор рядом":
- В клинике для лечения зубов используется новейшее оборудование производства США, Германии, Японии
- Для лечения кариеса мы используем современные пломбировочные материалы и анестетики самого последнего поколения, производства Германии, Японии, США
- В стоматологическом центре работают исключительно высококвалифицированные опытные врачи. Победители и участники международных конкурсов профессионального мастерства
- В центре заботятся о безопасности своих пациентов. В клинике внедрена европейская система многоуровневого контроля качества стерилизуемых инструментов. Все стоматологические установки оснащены системой "Антиспид".
Услуги стоматологического центра "Доктор рядом":
- Терапия: лечение кариеса, пульпита и периодонтита; лечение зубов под микроскопом; реставрация; шинирование; детский прием
- Ортопедия: металлокерамические коронки; безметалловые конструкции; бюгельное протезирование; съемное протезирование
- Хирургия: удаление зубов; имплантация; синуслифтинг; пьезохирургия
- Ортодонтия: съемные ортодонтические аппараты различной сложности; установка металлических и эстетических брекет-систем.
BEYOND Polus – самый безопасный способ отбеливания зубов!

Отбеливание зубов с использованием системы Beyond Polus Advanced 2017 замечательная процедура, после которой Ваши зубы будут сохранять прекрасный вид еще в течение нескольких лет. Beyond Polus - это продвинутая методика безопасного отбеливания.
Стимуляция окислительного процесса производится за счет мощного воздействия света из голубой области спектра (480-520 нм). Излучение пропускается сквозь систему оптической фильтрации, удаляющую неблагоприятный ультрафиолет. Холодный световой пучок идеально справляется с возложенными на него задачами – беспрепятственным проникновением к дентину и абсолютно безвредной стимуляцией окисления. Свет проходит двойную фильтрацию: оптоволоконную и оптическую.
Качество получаемого на выходе спектра позволяет добиться максимально возможной белизны зубов за кратчайший промежуток времени.
Лампы-акселераторы Beyond Polus получили лучшую из всех возможных оценок от независимого стоматологического издания Dental Advisor и в ходе практических исследований доказали свою высокую клиническую эффективность (98%).
Такая методика отбеливания АБСОЛЮТНО БЕЗВРЕДНА, а длительность процедуры составляет всего 60 минут!

!ВАЖНО!
Для того, чтобы сделать отбеливание без последующих осложнений – пациенту необходимо избавиться от кариеса. Также перед процедурой отбеливания зубов необходимо проведение профессиональной гигиены.
Этапы процедуры отбеливания зубов на системе Beyond Polus Advanced 2017
- Во время приема доктор делает профессиональные снимки полости рта до и после, чтобы пациент без труда мог убедиться, что результат есть. Перед тем, как запечатлеть "до", подбирается образец зуба, который максимально похож по цвету, чтобы в результате определить, на сколько тонов зубки побелели.
- Изолирование десны от геля специальным составом, который застывает на верхней части зуба, тем самым предотвращая попадание геля на десну.
- На зубы наносится гель, а потом включается на 10 минут лампа. И так три раза. Огромным плюсом является то, что это методика безопасного и безболезненного отбеливания, которая демонстрирует настоящий результат.
- Рекомендации доктора: "белая диета", которая подразумевает отказ от цветной, красящей пищи. Такую диету необходимо выдержать в течение минимум 48 часов. Далее кофе и цветные напитки рекомендуется употреблять через трубочку. Также необходимо использовать абразивные пасты с отбеливающим эффектом.
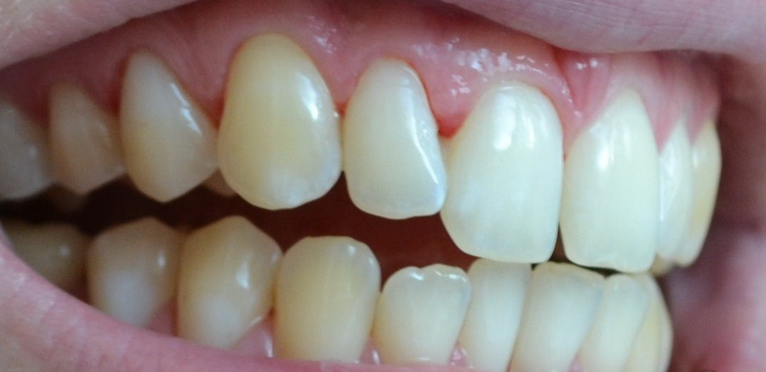
Реальный эффект от процедуры отбеливания зубов системой beyond polus
![]() фото зубов ДО процедуры |
![]() фото зубов ПОСЛЕ процедуры |
Кому можно делать отбеливание зубов? Процедуру отбеливания зубов при помощи BEYOND Polus может делать любой, кто хочет иметь красивую белоснежную улыбку. Особенно эта процедура показана пациентам с наличием пятен на поверхности эмали (от кофе, чая, сигарет и др).
Противопоказания: аллергия на использованные материалы; инфекционные заболевания в стадии обострения; период беременности и лактации; онкология, сахарный диабет и другие тяжелые заболевания; наличие протезов, коронок и фотополимерных реставраций во фронтальной области; воспаление десен, кариес и его осложнения, негерметичные пломбы.
Что важно знать перед отбеливанием зубов системой Beyond Polus?
- Окончательный результат отбеливания установится через 2 недели после процедуры. В течение этого времени цвет эмали может меняться. Поэтому заменять реставрации на зубах под новый цвет рекомендуется не ранее, чем через 2 недели.
- Невозможно предсказать, на сколько тонов осветлятся зубы. Но на практике доказано, что каждое последующее отбеливание улучшает эффект предыдущих процедур. Также поддерживать результат поможет домашнее отбеливание в капах, которое при необходимости подберет ваш стоматолог-терапевт.
- Для отбеливания используется специальный RS-гель с компонентами для снижения чувствительности зубов у пациентов во время и после отбеливания.
Отбеливание зубов в стоматологической клинике "Доктор рядом" подарит Вам белоснежную сверкающую улыбку.
Вы все еще мечтаете отбелить зубы? Хватит мечтать - пора воплотить мечту в реальность! Приходите к нам, бесплатная консультация наших специалистов поможет подарить Вам улыбку мечты! 👄

Стоматологический центр "Доктор рядом"

Мы всегда рады помочь: служба поддержки Slivki.by ответит на любой ваш вопрос











Введите код из письма
Создайте новый пароль
Используйте не менее 8 символов: латинские буквы, как минимум 1 заглавную букву, 1 строчную букву, 1 цифру и 1 специальный символ (!@#&-). Например: Gn111-999
Пароль отправлен на ваш электронный ящик
Поделиться с другом:
Статистика
Рейтинг акции
Глобальный
на сайте
В категории
В субкатегории
Оценки
Продажи всего
за сутки
за 30 дней
Продажи онлайн
за сутки
за 30 дней
Продажи по звонку
за сутки
за 30 дней
Просмотры
за сутки
за 30 дней
Актуальность продаж
за неделю
за 30 дней
Привяжите почту и объедините свои
аккаунты в один
Куки (англ. cookies) являются текстовым файлом, сохраненным в браузере компьютера (мобильного устройства) посетителей и пользователей платформы ЗАО «СЛИВКИ БАЙ» Slivki.by (далее – сайт) при его посещении для отражения совершенных действий.
Целью обработки куки является обеспечение удобства посетителей сайта и повышение качества его функционирования.
Файлы сookie могут собираться, систематизироваться, храниться, изменяться, использоваться, обезличиваться, блокироваться, удаляться с использованием средств автоматизации.
Cookie могут быть постоянными или временными. Постоянные cookie сохраняются на компьютере до тех пор, пока пользователь их не удалит (ЗАО «СЛИВКИ БАЙ» хранит их не более года). Временные действуют до тех пор, пока пользователь (посетитель) сайта не закроет браузер.
ЗАО «СЛИВКИ БАЙ» не использует куки для идентификации субъектов персональных данных.
Обработка аналитических и рекламных куки осуществляется уполномоченными лицами ЗАО «СЛИВКИ БАЙ»:
Яндекс Метрика – сервис веб-аналитики, предоставляемый ООО «Яндекс». Адрес: г. Москва, ул. Льва Толстого, д. 16, 119021. Политика конфиденциальности Яндекс – https://yandex.ru/legal/confidential/
Google Analytics – сервис веб-аналитики, предоставляемый компанией Google, Inc. Адрес: Google, Google Data Protection Office, 1600 Amphitheatre Pkwy, Mountain View, CA 94043, USA. Политика конфиденциальности Google – https://policies.google.com/privacy?hl=ru#infocollect.
Facebook Pixel – сервис ретаргетинга, предоставляемый компанией Meta Platforms, Inc. Адрес: 1 Hacker Way, Menlo Park, CA 94025, USA. Политика конфиденциальности Facebook – https://www.facebook.com/privacy/policy/.
TikTok Pixel – сервис аналитики, предоставляемый компанией TikTok Inc. Адрес: 5800 Bristol Parkway, Suite 100, Culver City, CA 90230, USA. Политика конфиденциальности TikTok – https://www.tiktok.com/legal/privacy-policy.
Трансграничная передача куки осуществляется при предоставлении посетителем сайта согласия на обработку куки следующему субъекту.
Обращаем внимание, что обработка куки осуществляется Google Analytics, Facebook Pixel, TikTok Pixel, зарегистрированными в США, которая не входит в перечень иностранных государств, являющихся сторонами Конвенции Совета Европы о защите физических лиц при автоматизированной обработке персональных данных, принятой в г. Страсбурге 28.01.1981 (далее – Конвенция) (приказ директора Национального центра защиты персональных данных Республики Беларусь от 15 ноября 2021 г. № 14 «О трансграничной передаче персональных данных»).
Страны, не подписавшие и не ратифицировавшие указанную выше Конвенцию, относятся к иностранным государствам, на территории которых не обеспечивается надлежащий уровень защиты прав субъектов персональных данных.
В связи с чем ЗАО «СЛИВКИ БАЙ» в соответствии с требованиями законодательства информирует о возможных рисках, связанных с необеспечением надлежащих способов защиты персональных данных от несанкционированного или случайного доступа к ним, изменения, блокирования, удаления, предоставления, распространения, совершения иных неправомерных действий в отношении предоставляемых персональных данных в странах, куда такие данные передаются.
При желании, пользователь может отказаться от использования cookie-файлов Google Analytics, Яндекс Метрика для отслеживания вашей активности на всех веб-сайтах, пройдя по следующий ссылкам: http://tools.google.com/dlpage/gaoptout, https://yandex.ru/support/metrica/general/opt-out.html.
Обрабатываемые на сайте куки и сроки их хранения:
– настройка куки (технические) хранятся не более года;
– функциональные куки, часть из которых хранятся во время пользования сайтом, а остальные не более суток;
– необходимые для функционирования веб-аналитической платформы (аналитические), часть из которых хранятся во время пользования сайтом, а остальные не более года;
– рекламные куки, часть из которых хранятся во время пользования сайтом, а остальные не более года;
Отключение и ограничение использования куки
Посетители сайта могут принять или отклонить все обрабатываемые на сайте куки, кроме необходимых.
Куки необходимы для полноценного использования сайта. При отключении cookie некоторые функции станут недоступны.
Отключение функциональных куки может привести к ограничению пользователя в доступе к определенным функциональным возможностям сайта.
Отключение аналитических куки не позволяет определять предпочтения посетителей сайта, в том числе наиболее и наименее популярные страницы и принимать меры по совершенствованию работы сайта исходя из предпочтений пользователей.
Отключение рекламных куки может привести к показу менее релевантной рекламы, не соответствующей вашим интересам.
Посетитель может отказаться от использования куки на сайте, отключив их в настройках браузера.
По окончании сроков хранения куки и повторном посещений сайта у посетителя сайта снова запрашивается согласие на обработку куки.
Вместе с тем посетители сайта вправе изменить свой выбор настроек куки (в том числе отозвать согласие) в любое время в интерфейсе сайта путем перехода по ссылке настоящей политики.
Помимо настроек куки на сайте посетители сайта могут принять или отклонить сбор всех или некоторых куки в настройках своего браузера.
При этом некоторые браузеры позволяют посещать интернет-сайты в режиме ”инкогнито“, чтобы ограничить хранимый на компьютере объем информации и автоматически удалять сессионные куки. Кроме того, субъект персональных данных может удалить ранее сохраненные куки выбрав соответствующую опцию в истории браузера.
Подробнее с параметрами управления куки можно ознакомиться, перейдя по внешним ссылкам, ведущим на соответствующие страницы сайтов основных браузеров:
– Chrome https://support.google.com/chrome/answer/95647?hl=ru
– Safari https://support.apple.com/ru-ru/guide/safari/sfri11471/mac
– Opera https://help.opera.com/ru/latest/web-preferences/
– Microsoft Edge https://support.microsoft.com/ru-ru/microsoft-edge/

Фотографии пользователей: